안녕하세요. 오늘은 종아리 근육 통증 원인 및 해결 방법에 대해 말씀드리도록 하겠습니다.


일상생활을 하다보면 종아리 근육이 땡기거나 뒤틀리는 듯한 통증을 느껴본 경험이 있으실 겁니다. 대부분 일시적이지만 간혹 큰 질병의 전조증상으로 나타난 것일 수도 있습니다. 그럼 지금부터 그 원인을 알아보겠습니다.
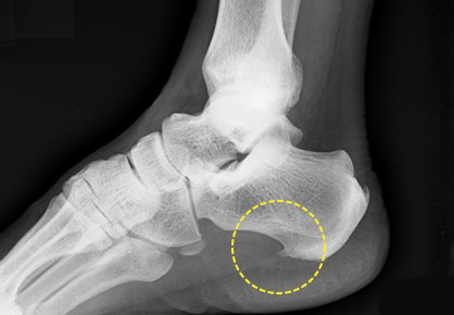
1. 아킬레스건염



아킬레스건염은 장기간 하체를 무리하게 사용함에 따라 발 전체에 변형이 오면서 발생하게 되는 질병입니다. 주로 육체 노동자와 운동선수에게 많이 나타납니다.



일단 이 질병에 걸리게 되면 걸을 때, 찌릿찌릿한 통증이 생기며 휴식 땐 뻑뻑한 느낌이 들기도 합니다. 이것이 아킬레스건염의 초기 증상이므로 이 때 바로 병원을 방문하셔야 빠른 치료를 할 수 있습니다.


마사지나 찜질을 통해 일시적인 완화는 이뤄질 수 있으나 자연치유가 쉽지 않습니다. 아킬레스건염은 장기간 방치하면 파열이 되어 치료가 매우 어렵게 되므로 초기에 병원을 가시는 것이 좋습니다.
2. 하지정맥류



하지정맥류는 하지에 압력이 계속 됨에 따라 그 기능을 온전히 하지 못하여 혈액이 고이는 것을 말합니다. 보통 퉁퉁 붓게되는데 시간이 지날수록 붓기가 심해져 외관상으로 확인이 쉽습니다.



하지정맥류는 단순히 이 질병 자체뿐 아니라 합병증의 위험이 매우 크기에 종아리 통증과 붓기가 동반된다면 병원을 바로 방문하여 치료해주는 것이 좋습니다. 평소에는 찔질과 앉아서 충분한 휴식을 하여 관리 해주어야 합니다.
3. 혈액순환장애



혈액순환에 장애가 생기게 되면 바로 통증이 생기게 됩니다. 보통 잦은 다리저림이 가장 먼저 시작되며, 갑작스런 뭉침, 뻑뻑한 통증 등을 동반하기에 매우 고통스럽습니다.



특히 낮밤을 가리지 않기 때문에 심하면 숙면에도 악영향을 미치게 됩니다. 휴식 시간마다 충분히 종아리를 주물러 주며, 개선 속도가 낮다면 혈액이 한쪽으로 쏠리지 않도록 압박스타킹을 통해 혈액순환 장애를 풀어주는 것도 방법입니다.
4. 족저근막염





족저근막염은 족저근막이라는 부위가 손상이 되면서 발현되는 질병입니다. 발바닥 안쪽에 있는 족저근막의 문제가 생기면 가장 먼저 발뒷꿈치가 찌릿찌릿한 느낌을 받게되며, 시간이 지나면서 종아리 통증을 동반하게 됩니다.



보통 일상생활을 할 때는 괜찮다가 휴식을 취할 때 큰 통증과 함께 찾아오는 특징이 있으며, 심해지면 일상생활에도 큰 문제를 가져다 줍니다. 족저근막염은 종아리 통증 전, 발뒷꿈치 통증이 있을 때 병원을 방문하는 게 좋습니다.
5. 근육 염좌



근육 염좌는 종아리 통증의 원인 중에 가장 흔한 질병이라 할 수 있습니다. 보통 갑작스럽게 무리한 하체의 힘을 쓰거나 이에 따라 손상이 되었을 시 나타나게 됩니다. 일시적인 것이므로 근육을 자주 만져서 풀어주면 됩니다.
6. 슬와동맥 포획 증후군


슬와동맥 포획 증후군은 무릎 뒷 쪽에 위치한 슬와동맥이 일시적으로 근육에 끼이면서 발생하는 통증입니다. 보통 활동이 많은 20대 남녀에게서 많이 나타나는 질병이라 할 수 있습니다.



대부분 심한 근육 운동 및 활동에 따라 발생하게 되며, 혈관이 눌리기 때문에 그 어떤 종아리 통증보다 매우 고통스럽다고 할 수 있습니다. 또한 하체의 혈액순환이 잘 안 되기 때문에 종아리 상처 회복도 현저히 느려집니다.
종아리 근육 통증 치료방법
가장 빠르게 치료하는 방법은 역시 병원을 방문하는 것입니다. 하지만 치료보다 더 중요한 것이 관리입니다. 일상생활 복귀 후, 마사지나 따뜻한 수건으로 찜질을 해주는 것이 좋으며 종아리 마사지기를 이용하는 것도 좋습니다.





지금까지 종아리 근육 통증 원인과 해결방법에 대해 알아보았습니다. 종아리는 우리의 몸을 지탱해주는 중요한 역할을 하는 부위입니다. 평소 때 관리 잘 하시길 바라겠습니다. 감사합니다.
단백질 보충제 추천 만족도 BEST.5
안녕하세요. 오늘은 만족도가 높은 단백질 보충제 추천을 해드리려고 합니다. 운동에 있어서 '단백질'의 섭취는 가장 중요하다 해도 과언이 아닙니다. 하지만 매일 정량을 먹기란 쉽지가 않기 ��
health.richprice.kr
대장내시경 전 음식주의사항 필수총정리
안녕하세요. 오늘은 대장내시경 전 음식주의사항에 대해 좋은 정보를 드리려고 합니다. 대장내시경은 50세 이후부터는 건강검진에 포함될 정도로 중요한 항목입니다. 이에 따라 정확한 검사를 �
health.richprice.kr
자궁경부암 예방접종 가격 부작용 총정리
안녕하세요. 오늘은 자궁경부암 예방접종 가격 부작용에 대한 좋은 정보를 드리려고 합니다. 매년 자궁경부암 발병률이 늘어난다는 보고가 전해지면서 예방접종에 대한 관심이 그 어느때보다 �
health.richprice.kr
소변이 잘 안나오는 이유 100%총정리
안녕하세요. 오늘은 소변이 잘 안나오는 이유에 대해 좋은 정보를 드리려고 합니다. 중년이 되면 가장 많이 나타나는 현상이 바로, 소변 문제입니다. 소변의 세기가 약해져서 시원하게 볼 수 없�
health.richprice.kr
흑마늘 효능과 부작용 이정도라고?
안녕하세요. 오늘은 건강에 으뜸으로 꼽히는 흑마늘 효능과 부작용에 대해 말씀드리려고 합니다. 흑마늘은 마늘에 비해 항산화력이 10배나 높다고 알려져 슈퍼푸드라 불립니다. 특유의 매운맛��
health.richprice.kr
댓글